Расследования Царьграда – плод совместной работы группы аналитиков и экспертов. Мы вскрываем механизм работы олигархических корпораций, анатомию подготовки цветных революций, структуру преступных этнических группировок. Мы обнажаем неприглядные факты и показываем опасные тенденции, не даём покоя прокуратуре и следственным органам, губернаторам и "авторитетам". Мы защищаем Россию не просто словом, а свидетельствами и документами.
«Люди, события, факты» - вы делаете те новости, которые происходят вокруг нас. А мы о них говорим. Это рубрика о самых актуальных событиях. Интересные сюжеты и горячие репортажи, нескучные интервью и яркие мнения.
События внутренней, внешней и международной политики, политические интриги и тайны, невидимые рычаги принятия публичных решений, закулисье переговоров, аналитика по произошедшим событиям и прогнозы на ближайшее будущее и перспективные тенденции, публичные лица мировой политики и их "серые кардиналы", заговоры против России и разоблачения отечественной "пятой колонны" – всё это и многое вы найдёте в материалах отдела политики Царьграда.
Идеологический отдел Царьграда – это фабрика русских смыслов. Мы не раскрываем подковёрные интриги, не "изобретаем велосипеды" и не "открываем Америку". Мы возвращаем утраченные смыслы очевидным вещам. Россия – великая православная держава с тысячелетней историей. Русская Церковь – основа нашей государственности и культуры. Москва – Третий Рим. Русский – тот, кто искренне любит Россию, её историю и культуру. Семья – союз мужчины и женщины. И их дети. Желательно, много детей. Народосбережение – ключевая задача государства. Задача, которую невозможно решить без внятной идеологии.
Экономический отдел телеканала «Царьград» является единственным среди всех крупных СМИ, который отвергает либерально-монетаристские принципы. Мы являемся противниками встраивания России в глобалисткую систему мироустройства, выступаем за экономический суверенитет и независимость нашего государства.
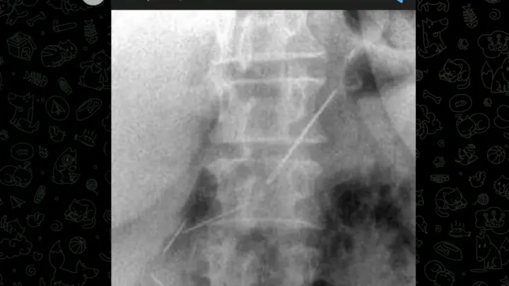
Месяц в животе: в Подмосковье врачи достали из женщины 4 швейные иглы
Фото: Telegram-канал "Осторожно, Москва"
Происшествия

Месяц в животе: в Подмосковье врачи достали из женщины 4 швейные иглы

Женщина каким-то образом проглотила их и забыла об этом.

В Красногорскую больницу обратилась 59-летняя женщина с болями в животе. Врачи сделали диагностику и обалдели: в брюшной полости пациентки торчат три швейные иглы, еще одна застряла в передней брюшной стенке. Самое удивительное - женщина проглотила их примерно месяц назад и все это время как-то жила с этим.

За месяц иглы успели врасти в ткани, что превратило операцию в ювелирную работу. Хирургам пришлось делать лапаротомию - разрезать брюшную стенку, чтобы добраться до инородных тел. В итоге все четыре иглы достали. Одна из них прошла через стенку желудка и воткнулась в поджелудочную железу. Повезло, что железу удалось сохранить.

Заведующий отделением Николай Мурашов говорит, что случай уникальный. Обычно с такими вещами тянуть нельзя - иглы мигрируют по организму и могут продырявить что угодно. Но здесь, видимо, звезды сошлись. Пациентка сейчас восстанавливается.

 
 
 
 
 
 
 
Дзен Телеграм
Подписывайтесь на наши каналы и первыми узнавайте о главных новостях и важнейших событиях дня.

Читайте также:

Пора заканчивать эту войну Полная синергия, которая пугает: Что скрывается за фасадом самого крупного онлайн-вуза Даня с Дашей спаслись от боевиков ВСУ. Но беды для малышей не закончились "Терпение Путина окончательно лопнуло": Первый "бах" по Европе. Ракеты "Оникс". Впервые с 2022-го началась мобилизация. ZVON забирает Сумы Третье и последнее отступление из Купянска. "Много плохих новостей": Кровавая бойня за Славянск. Ермак вернулся и возглавил контрнаступ

У вас есть возможность бесплатно отключить рекламу

Отключить рекламу

Ознакомиться с условиями отключения рекламы можно здесь