Расследования Царьграда – плод совместной работы группы аналитиков и экспертов. Мы вскрываем механизм работы олигархических корпораций, анатомию подготовки цветных революций, структуру преступных этнических группировок. Мы обнажаем неприглядные факты и показываем опасные тенденции, не даём покоя прокуратуре и следственным органам, губернаторам и "авторитетам". Мы защищаем Россию не просто словом, а свидетельствами и документами.
«Люди, события, факты» - вы делаете те новости, которые происходят вокруг нас. А мы о них говорим. Это рубрика о самых актуальных событиях. Интересные сюжеты и горячие репортажи, нескучные интервью и яркие мнения.
События внутренней, внешней и международной политики, политические интриги и тайны, невидимые рычаги принятия публичных решений, закулисье переговоров, аналитика по произошедшим событиям и прогнозы на ближайшее будущее и перспективные тенденции, публичные лица мировой политики и их "серые кардиналы", заговоры против России и разоблачения отечественной "пятой колонны" – всё это и многое вы найдёте в материалах отдела политики Царьграда.
Идеологический отдел Царьграда – это фабрика русских смыслов. Мы не раскрываем подковёрные интриги, не "изобретаем велосипеды" и не "открываем Америку". Мы возвращаем утраченные смыслы очевидным вещам. Россия – великая православная держава с тысячелетней историей. Русская Церковь – основа нашей государственности и культуры. Москва – Третий Рим. Русский – тот, кто искренне любит Россию, её историю и культуру. Семья – союз мужчины и женщины. И их дети. Желательно, много детей. Народосбережение – ключевая задача государства. Задача, которую невозможно решить без внятной идеологии.
Экономический отдел телеканала «Царьград» является единственным среди всех крупных СМИ, который отвергает либерально-монетаристские принципы. Мы являемся противниками встраивания России в глобалисткую систему мироустройства, выступаем за экономический суверенитет и независимость нашего государства.

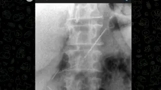
последние новости по тегу: проглотила иглы

У вас есть возможность бесплатно отключить рекламу

Отключить рекламу

Ознакомиться с условиями отключения рекламы можно здесь